Prof. Dr. Haridas Das Adhikari

Prof. Dr. Haridas Das Adhikari

B.D.S.(Cal), M.D.S.(B.H.U), Dental Surgeon - Endodontist

Different Surgical Procedure for (Simple Extraction, Trans Alveolar Extraction)

Surgery for Impacted Teeth, Granuloma, Jaw Cyst, Jaw Tumour, Jaw Abscess , Various Soft Tissue Tumours, Fracture, Gingivectomy, Frenectomy, Crown Lengthening Procedure, Biopsy, Alveolectomy, Apicoectomy etc. Helping faculty is Dr. Anubhav Das Adhikari, BDS, MDS (WBUHS).

Impacted Teeth

Impacted Teeth

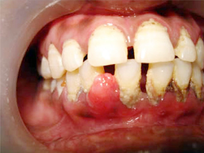
Granuloma

Granuloma

Jaw Cyst

Jaw Cyst

Jaw Tumour

Jaw Tumour

Jaw Abscess

Jaw Abscess

Various Soft Tissue Tumours

Various Soft Tissue Tumours

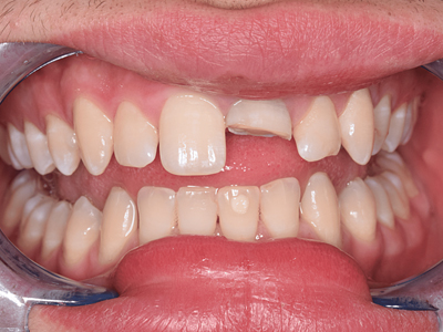
Teeth Fracture

Teeth Fracture

Gingivectomy

Gingivectomy

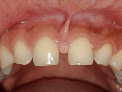
Frenectomy

Frenectomy

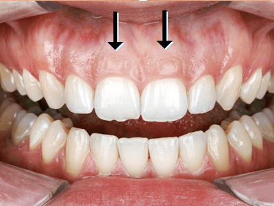
Crown Lengthening Procedure

Crown Lengthening Procedure

Alveolectomy

Alveolectomy

Apicoectomy

Apicoectomy

Powered By - www.calcuttayellowpages.com